Dvadesetogodišnji Švajcarac završio je na odeljenju intenzivne nege u Urgentnom centru u svom gradu žaleći se na bolove u grudima i na nemogućnost da udahne, otkrivši lekarima da se nije izlagao nikakvom fizičkom naporu osim što je neposredno pre pojave teških simptoma masturbirao u svom krevetu.
Lekari su neposredno po njegovom prijemu u bolnicu primetili da mu je lice otečeno, a kada su ga brzinski lekari pregledali ustanovili su da ima ozbiljnu povredu pluća koja je obično uzrokovana ekstremnim napadima kašlja ili rigoroznim vežbama. Zbog toga je morao da bude zadržan na intenzivnoj nezi kako bi mu lekari ublažili bol.
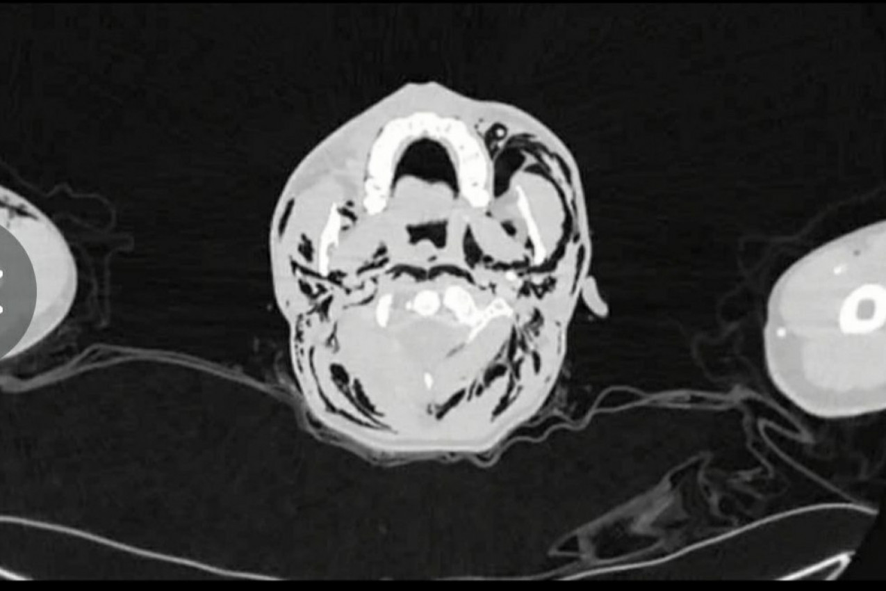
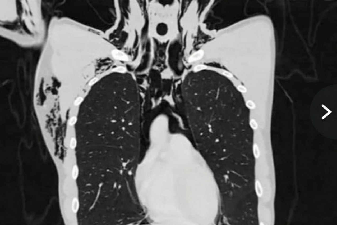
- Pacijentu je dijagnostifikovan spontani pneumomedijastijum (SPM), stanje tokom kog dolazi do "curenja" vazduha iz pluća i njegovog zadržavanja u grudnom košu - prenose mediji i napominju kako je rendgenski snimak upravo prikazao pokazivao zarobljeni vazduh između plućne maramice i grudnog koša.
sciencedirect.com

Iako pacijent ima astmu, negirao je da konzumira cigarete i da korsti droge.
Prema rečima lekara, ova izuzetno retka komplikacija s plućima najčešće se dešava muškarcima prosečne starosti do 23 godine. Švajcarac je hospitalizovan i dat mu je paracetamol u kombinaciji s drugim lekovima kako bi bolovi i otežano disanje nestali. Interesantno je da je vazduh, koji je mladiću izašao iz pluća, nekako završio i u njegovoj lobanji, što je, takođe, zabeleženo na rendgenu. U ovakvim slučajevima hirurško lečenje je retko.
Kako su lekari istakli postoji tek nekoliko izveštaja vezanih za ovu dijagnozu SPM u vezi sa seksualnom aktivnošču, ali nijedan nije povezan sa autoerotizmom, što ovaj slučaj čini neobičnim.
Možda vas zanima…
Inače, SPM je retko stanje ali nije ozbiljno po život. Prate ga simptomi poput kratkog daha, bola u grudima i vratu, povraćanje i promukli glas.
BONUS VIDEO:
Komentari (0)