Britani Loker (36) je bila van sebe od sreće kada je 4.avgusta 2022. rodila ćerkicu Liv. Međutim, nekoliko dana posle porođaja Britani je počela da oseća probleme sa disanjem, a zatim su krenule strašne glavobolje. Lekari su joj ubrzo saopštili da su otkrili ogromnu masu na njenom srcu.
Za Britani, prvi znakovi da nešto nije u redu pojavili su se u devetom mesecu trudnoće kada je imala kratak dah i jak kašalj. Ipak, ona je to pripisala običnoj prehladi.
- Petog dana posle porođaja su počele pulsirajuće glavobolje. Kada smo se slikali za porodični album, fotograf mi je rekao da loše zvučim, kao da imam bronhitis i da bi obavezno trebalo to da proverim, jer posle porođaja su komplikacije veoma moguće. Odmah posle snimanja skenerom pojavila se doktorka koja je sestrama rekla: "Vodite je odmah u operacionu salu". Tada sam se prestravila - ispričala je Britani.
Facebook/Brittany Locker

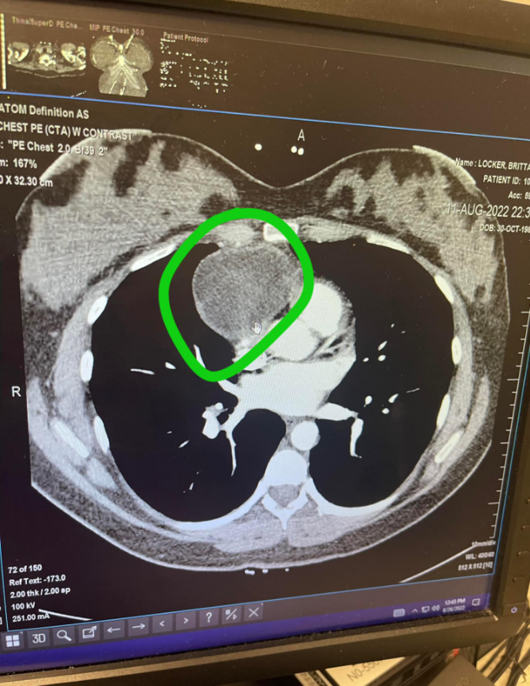
Posle snimaka skenerom lekari su mi objasnili da su pronašli veliku masu iznad srca, kao i da je moguće da se radi o tumoru.
- Tek kad su mi pokazali snimak shvatila sam ozbiljnost situacije. Nalaz magnetnom rezonancom je pokazao da masa pritiska 80 odsto mog srca. Jedini razlog zašto to nisam osećala jeste činjenica da sam bila trudna, a trudnice imaju dva dodatna litra krvi. Svaki doktor s kojim sam razgovarala mi je rekao da mi je Liv spasla život jer da nisam ostala trudna srce bi mi stalo i umrla bih - objasnila je Britani.
Facebook/Brittany Locker

Britani je operisana 31. avgusta 2022. i masa iz njenog grudnog koša je uklonjena. Srećom, ispostavilo se da se radi o benignom tumoru, a doktori su joj objasnili da je malo verovatno da će ikada više imati slične probleme, prenosi Mirror.
Kako su odnemeli posle?